Osteosarcoma apendicular canino
Posted 24/04/2021
0 Comments
1 Likes
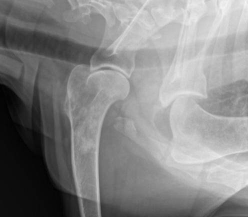
El osteosarcoma (OSA) apendicular es el tumor primario de hueso más común en la especie canina. Es un tumor mesenquimatoso maligno de células óseas primitivas, estas células producen una matriz extracelular de osteoide. Osteosarcoma. Representa hasta el 85% de las neoplasias que se originan en el esqueleto, la demografía ha sido bien informada, es en
Read moreMastocitomas: Kira.
Read more